Cancer Researchers at University of Turku Managed to Correct Decades-old Misconception on White Blood Cell Trafficking to Spleen

02.04.2019

Contrary to prior belief, the white blood cells enter the spleen primarily via vessels in the red pulp. The research results change thoroughly our perception of the spleen producing antibodies vital for the human body.

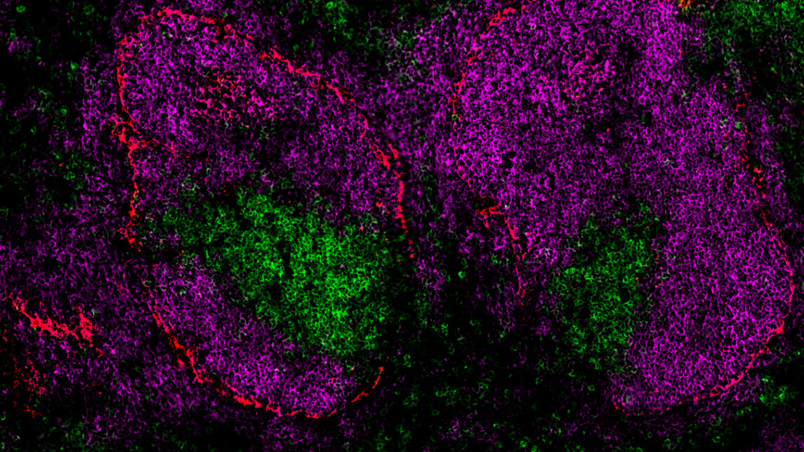
The spleen is our largest lymphoid organ. Its function is to eliminate outdated red blood cells and to produce antibodies against pathogens. Outdated red blood cells are eliminated in the spleen’s red pulp and antibodies are produced in the white pulp.

The significance of the spleen for the production of antibodies is central, as removing the spleen predisposes the patient to certain microbe infections.

So far, white blood cells have been believed to enter the spleen from the circulation through the marginal zone surrounding the white pulp. However, no molecule controlling white blood cell trafficking has been identified in any of the laboratories working in the trafficking field in spite of three decades of research.

Contrary to prior belief, the research groups at the University of Turku led by Academy Research Fellow Maija Hollmén and Academician of Science Sirpa Jalkanen together with their collaborators have been able to show that white blood cells enter the spleen primarily via vessels in the red pulp and are then migrating to the other structures of the spleen.

Additionally, the researchers were able to confirm that the Clever-1 (Common Lymphatic and Vascular Endothelial Receptor-1) molecule found by the group earlier controls white blood cell trafficking to both mouse and human spleen.

– White blood cells entering the spleen directly attach to the Clever-1 molecule on the vessel wall. In addition, Clever-1 controls expression of other trafficking-associated molecules produced by the vessel. Such a molecule is for example the attractant for antibody-producing white blood cells, says Hollmén.

– The research results change our perception of the spleen all the way to the textbook level. It is possible that the immune responses taking place in the spleen could be controlled by suppressing or activating the Clever-1 molecule in the future, adds Jalkanen.

The research results have been published in the highly esteemed Science Immunology journal on 29 March 2019.

Created 02.04.2019 | Updated 03.04.2019

More information:

Academician of Science Sirpa Jalkanen
tel. 040 566 9611, sirjal@utu.fi

Academy Research Fellow Maija Hollmén
tel. 040 760 4455, maijal@utu.fi