Researchers Developed an AI-Based Method to Replace Chemical Staining of Tissue

14.04.2023

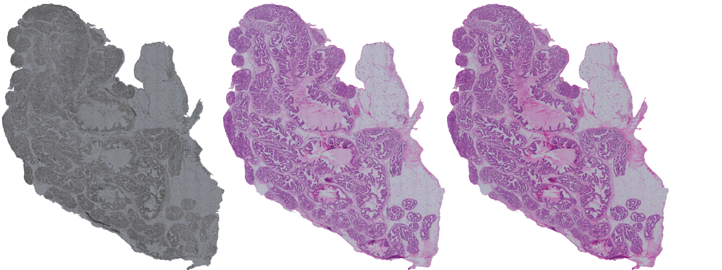
Researchers from the University of Eastern Finland, the University of Turku, and Tampere University have developed an artificial intelligence-based method for virtual staining of histopathological tissue samples as a part of the Nordic ABCAP consortium. Chemical staining has been the cornerstone of studying histopathology for more than a century and is widely applied in, for example, cancer diagnostics.

“Chemical staining makes the morphology of the almost transparent, low-contrast tissue sections visible. Without it, analysing tissue morphology is almost impossible for human vision. Chemical staining is irreversible, and in most cases, it prevents the use of the same sample for other experiments or measurements,” says University Researcher and Vice Director of the Institute of Biomedicine at the University of Eastern Finland Leena Latonen, who led the experimental part of the study.

The artificial intelligence method developed in this study produces computational images that very closely resemble those produced by the actual chemical staining process. This virtually stained image can then be used for inspecting the morphology of the tissues. Virtual staining reduces both the chemical burden and manual work needed for sample processing while also enabling the use of the tissue for other purposes than the staining itself.

The strength of the proposed virtual staining method is that it requires no special hardware or infrastructure beyond a regular light microscopy and a suitable computer.

“The results are very widely applicable. There are plenty of topics for follow-up research, and the computational methods can still be improved. However, we can already envision several application areas where virtual staining can have a major impact in histopathology,” says Associate Professor Pekka Ruusuvuori from the University of Turku, who led the computational part of the study.

Ground-breaking research with international funding

One of the key factors enabling the study was the consortium funding obtained from the ERAPerMed joint transnational call. The ABCAP consortium consists of Nordic research groups developing artificial intelligence-based diagnostics of breast cancer towards personalised medicine and is funded by ERAPerMed, Nordic Cancer Union and the Academy of Finland. Both Latonen and Ruusuvuori lead their own subprojects.

“This research is truly cross-disciplinary. Without consortium funding, it would be very difficult to find enough resources for both the experimental laboratory work and the computational effort to enable studies like this,” acknowledge Ruusuvuori and Latonen.

This cross-disciplinary research is based on expertise in tissue biology, histological processes, bioimage informatics and artificial intelligence. The first part of the two-phase study focused on optimising the tissue sample processing and imaging steps, and was carried out by Doctoral Researcher Sonja Koivukoski from the University of Eastern Finland. Systematic assessment of histological feasibility was a unique component in the study.

“Development of computational methods using artificial intelligence often lacks proper assessment of the feasibility from the perspective of the end user. This may lead to methods being developed and published but eventually not really used in practice. Therefore, it is especially important to combine both computational and domain-based knowledge already in the development phase, as was done in our study,” state Latonen and Koivukoski.

Sonja Koivukoski ja Leena Latonen laboratoriossa.
Sonja Koivukoski and Leena Latonen.

Great potential of computational methods

Deep neural networks learning form large volumes of data have rapidly transformed the field of biomedical image analysis. In addition to traditional image analysis tasks, such as image interpretation, these methods are also well suited for image-to-image transforms. Virtual staining is an example of such a task, as was successfully shown in the two published parts of the work. The second part focused on optimising virtual staining based on generative adversarial neural networks, with Doctoral Researcher Umair Khan from the University of Turku as the lead developer.

“Deep neural networks are capable of performing at a level we were not able to imagine a while ago. Artificial intelligence-based virtual staining can have a major impact towards more efficient sample processing in histopathology,” says Khan.

In addition to the artificial intelligence algorithms, the key to success was the availability of high-performance computing services through CSC.

Pekka Ruusuvuori ja Umair Khan pöydän ääressä.
Pekka Ruusuvuori and Umair Khan.

“In Finland, we have an excellent infrastructure for parallel high-performance computing. Computationally intensive research like this would not be possible without the capacity provided by CSC,” says Ruusuvuori.

The results of the study were published in two international peer-reviewed journals, Laboratory Investigation and Patterns.

More information: 

Leena Latonen, University of Eastern Finland, Institute of Biomedicine, +358 50 3465553, leena.latonen@uef.fi
Pekka Ruusuvuori, University of Turku, Institute of Biomedicine, +358 50 472 1830, pekka.ruusuvuori@utu.fi

Created 14.04.2023 | Updated 14.04.2023