Rinnan terve rasvakudos voi ehkäistä syövän leviämistä

13.07.2023

Tutkijat löysivät mahdollisen selityksen sille, miksi sekä tiivis rintakudos että ikääntyminen lisäävät rintasyövän riskiä.

Turun yliopiston InFLAMES-lippulaivan, Turun biotiedekeskuksen ja Turun yliopistollisen keskussairaalan tutkijat ja lääkärit ovat tehneet mullistavan havainnon, joka muuttaa aiemmat käsitykset päälaelleen. Heidän tutkimustuloksensa osoittavat, että rintakudoksen pehmeästä rakenteesta vastaavat terveet rasvasolut estävät tehokkaasti rintasyövän leviämistä erittämällä IGFBP2-nimistä proteiinia, joka neutraloi syöpäkasvaimen tuottamaa, invaasiota lisäävää IGF-II-kasvutekijää. 

– Rasvakudoksen on tyypillisesti ajateltu edistävän syövän leviämistä, mutta tämä tutkimus osoittaa, että terveen rintakudoksen rasva saattaakin toimia suojaavana tekijänä ylläpitäen kudoksen normaalia tasapainoa ja estäen mahdollisen kasvaimen leviämistä. Lienee siis aika arvioida uudelleen rasvan roolia syövän säätelyssä ja selvittää sitä tarkemmin, toteaa akatemiatutkija Emilia Peuhu, yksi tutkimuksen keskeisistä tutkijoista ja InFLAMES-lippulaivan tutkija.

Rintasyövän ennuste on merkittävästi huonompi niillä syöpäpotilailla, joiden kasvain on muuntautunut paikallisesta kasvaimesta ympäristöönsä tunkeutuvaksi nk. invasiiviseksi kasvaimeksi. Näissä tapauksissa sairauden kehittyminen levinneeksi, etäpesäkkeitä lähettäneeksi syöväksi on korkea. Tämän takia tutkimusryhmä keskittyi etsimään normaalista kudoksesta ja paikallisten rintasyöpien ympäristöstä leviämistä estäviä tekijöitä.

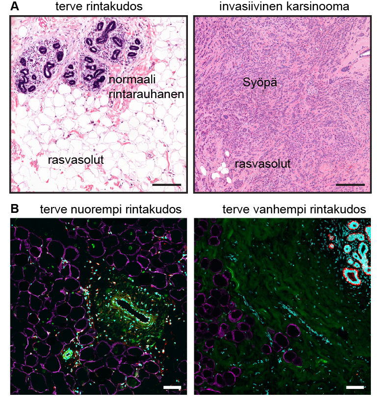
Kuva. A, kudosnäyte terveestä nuoresta rintakudoksesta (vasemmalla), jossa näkyy runsaasti normaalia rasvakudosta (valkoiset alueet) ja vertailuna invasiivinen rintakasvain, jossa rasvakudos on korvaantunut syövällä ja sen tuottamalla sidekudoksella (oikea). B, Kudosvärjäys IGFBP2-tekijän ilmentymisestä nuoremmassa ja iäkkäämmässä normaalissa rintakudoksessa.
Kuva. A, kudosnäyte terveestä nuoresta rintakudoksesta (vasemmalla), jossa näkyy runsaasti normaalia rasvakudosta (valkoiset alueet) ja vertailuna invasiivinen rintakasvain, jossa rasvakudos on korvaantunut syövällä ja sen tuottamalla sidekudoksella (oikea). B, Kudosvärjäys IGFBP2-tekijän ilmentymisestä nuoremmassa ja iäkkäämmässä normaalissa rintakudoksessa.

Tutkijat löysivät IGFBP2-tekijän, joka estää syöpäsolujen invaasiota. He myös havaitsivat, että sen ilmentyminen vähenee normaalissa rintakudoksessa iän myötä, viitaten iän mukanaan tuomaan heikentymiseen tässä syövän estomekanismissa. Suomen Syöpäinstituutin tutkimusprofessori, InFLAMES-ryhmänjohtaja Johanna Ivaska pitää havaintoa merkittävänä.

– Ikä ja rintakudoksen tiiviys ovat molemmat hyvin tunnettuja rintasyövän riskitekijöitä. Tiiviissä rintakudoksessa on luontaisesti vähemmän rasvaa, myös iän myötä rasvakudoksen määrä ja sen kyky tuottaa IGFBP2:ta vähenee. Vaikuttaisikin siltä, että olemme löytäneet yhden selityksen näille syövänriskitekijöille, Ivaska sanoo.

Tutkimuksen merkitystä korostaa myös tutkijoiden löytämä mahdollinen hoitokeino. 

– Monet nykyiset syöpähoidot perustuvat terapeuttisiin vasta-aineisiin. Me havaitsimme, että IGF-II-tekijään sitoutuva vasta-aine toimii biologisesti kuten IGFBP2 ja pystyi estämään tehokkaasti syövän leviämistä kudosviljemissä, selittää tutkimusta johtanut InFLAMES-tutkija, tutkijatohtori James Conway.

Tutkimus jatkuu seuraavaksi tämän lupaavan terapeuttisen mahdollisuuden selvittelyllä. Tulokset on julkaistu arvostetussa Science Advances -tiedelehdessä.

Lisätietoja:
Professori Johanna Ivaska
johanna.ivaska@utu.fi
p. 0405020812

 

InFLAMES on Turun yliopiston ja Åbo Akademin yhteinen lippulaivahanke. Se tähtää uusien lääkekehityskohteiden tunnistamiseen ja lääkekehitykseen yhdessä biotekniikka- ja lääkeyritysten kanssa. Lippulaiva edistää myös diagnostiikkaa, jolla potilaille voidaan räätälöidä sopivat täsmähoidot. InFLAMES osa Suomen Akatemian lippulaivaohjelmaa.

Luotu 13.07.2023 | Muokattu 13.07.2023