Turun yliopisto, Münsterin yliopisto ja University Medical Center Utrecht kehittävät EU:n tuella uusia ratkaisuja kuvamateriaalia hyödyntävään verkko-opetukseen. Vuoteen 2023 jatkuvan projektin aikana opetusteknologisia innovaatioita testataan patologian eli tautiopin opetuksessa. Turun yliopistosta mukana on sekä kasvatustieteiden että lääketieteen tutkijoita.
cLovid-hankkeessa kehitetään opetusteknologisia ratkaisuja oppialoille, jotka perustuvat vahvasti kuvallisen materiaalin hyödyntämiseen opetuksessa. Työ avaa uusia mahdollisuuksia erityisesti digitaalisesta materiaalista tehtyjen havaintojen merkitsemiseen sekä tietojen jakamiseen opiskelijalta opettajalle ja muille opiskelijoille.
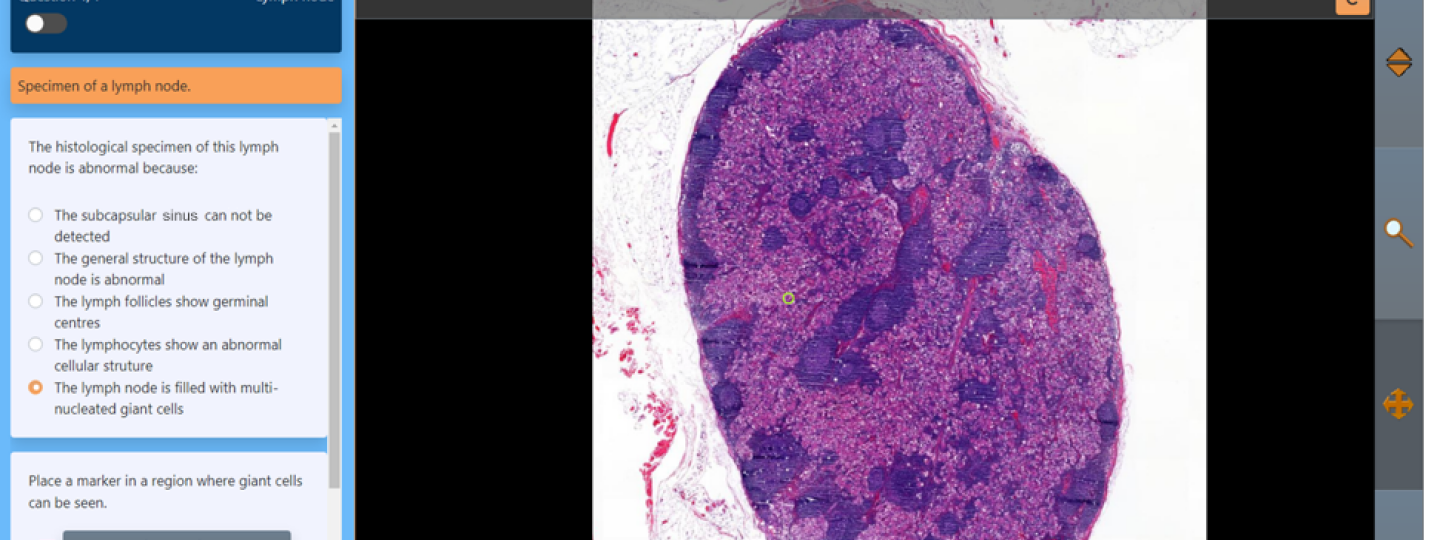
– Esimerkiksi Zoomia on käytetty jo aiemmin opetuksessa, mutta aiemmin oppilaat eivät ole voineet merkitä kuvaan tekemiään havaintoja. Me integroimme nämä toiminnot. Opiskelijat voivat jatkossa merkitä ruudulle havaintojaan ja merkitsemisten jälkeen niistä voidaan yhdessä keskustella. cLovidissa me myös testaamme ohjelmien käytettävyyttä lääketieteen opetuksessa, yliopistotutkija Laura Helle Turun yliopiston opettajankoulutuslaitokselta sanoo.
Konsortiossa Turun osuutena on suunnitella ja toteuttaa käytännön opetuskokeilut; lisäksi Turun osuutena on arvioida kehittämisprosessia ja sen tuloksia. Helteen rinnalla työltä tekevät projektitutkija Mikko Kainulainen opettajankoulutuslaitokselta ja dosentti Pauliina Kronqvist biolääketieteen laitokselta.
Kehitystyötä tehdään EU:n rahoittamana
Vuonna 2021 käynnistynyt ja vuoteen 2023 jatkuva cLovid-projekti sai EU:n Erasmus+ strategic partnership -rahoituksen. Helteen mukaan tutkimuksen kimmokkeena toimikin EU:n koronan vuoksi myöntämä erityisrahoitus. Pohjana on kuitenkin pitkään jatkunut kehittämistyö. Hankkeessa mukana oleva Koen Vincken Utrechtista ja hanketta koordinoiva Bas de Leng Münsteristä ovat alansa huippuja. Vinckenin erityisalaa ovat lääketieteen opetussovellukset ja de Lengin lääketieteen innovatiiviset oppimateriaalit.
Kun EU päätti jakaa erityistä tutkimusrahaa koronan kaltaisista poikkeusoloista selviämiseen tulevaisuudessa ja samaan aikaan pandemia vaikeutti patologian mikroskopointiopetusta, palaset loksahtivat kohdalleen.
– Koronasulku sai aikaan mikroskopointiopetuksessa digiloikan: suuri määrä opetusta toteutettiin verkko-opetuksena. Se mitä jäätiin kaipaamaan, oli interaktiivisuus ja palaute yksittäiselle opiskelijalle, sanoo kliininen opettaja, dosentti Pauliina Kronqvist Turun yliopiston biolääketieteen laitokselta.
cLovid-hanke keskittyy ensisijaisesti tautiopin perusopetukseen osana lääketieteen perustutkintokoulutusta, mutta on myös samalla kiinnostunut tunnustelemaan kehitettyjen työkalujen soveltamismahdollisuuksiin laajemmin.
– Voisivatko digitaalisen mikroskopian sovellukset olla hyödyllisiä myös esimerkiksi biologian opetuksessa, Helle pohtii. – Hyötynä on se, että koko luokka pääsee ”tutkimaan” yhtä näytettä joko yhtä aikaa tai vaikka etukäteen. Sen jälkeen voidaan keskustella havainnoista ja johtopäätöksistä yhdessä.
Kehittämistyön ytimessä kaksi ohjelmistoa
cLovid-hankkeen kehittämistyön ytimessä on kaksi ohjelmistoa: VQuest ja PRISMA. Lisäksi hyödynnetään avoimeen lähdekoodiin perustuvaa ”virtuaalimikroskooppia” eli mikroskooppisten näytteiden katseluohjelmaa.
Toistakymmentä vuotta rakennettua VQuest-ohjelmisto kehitettiin alun perin radiologian erikoislääkärikoulutuksen tarpeisiin. Sitä hyödynnetään mm. vuosittain Utrechtissä pidettävissä erikoistuvien radiologien osaamiskartoituksissa. VQuestin avulla opiskelijat voivat harjoitella kuvan tulkintataitojaan ja opettajat puolestaan saavat halutessaan jopa reaaliaikaista palautetta opiskelijoiden suoriutumisesta. Näin opettaja pystyy välittämään palautetta opiskelijoille, vaikka kyseessä olisi suurryhmäopetus.
PRISMA on tuoreempi ohjelmisto. PRISMA on alusta, joka on suunniteltu esittämään kuvallisten aineistojen tulkintojen ja analyysien tuloksia sellaisissa muodoissa, jotka edesauttavat vuorovaikutteista ja pohdiskelevaa oppimista. PRISMAn avulla opettajat voivat tuottaa esimerkiksi VQuestin parissa toteutettujen tehtävien tuloksista yhteenvetoja, ja avata keskustelua vaikkapa solmukohdista tai väärinkäsityksistä.
– Projektin tarkoituksena on pilotoida uusimpien ohjelmistojen ja opetuksellisten ratkaisujen käyttöä tautiopin verkko-opetuksessa. Verkkoa voidaan hyödyntää sekä etäopetuksessa että lähiopetuksessa esimerkiksi hyödyntäen opiskelijoiden omia kannettavia tietokoneita, Helle sanoo.
– Viime vuosina lääketieteen peruskoulutukseen kuuluva mikroskopointi-opetus on siirtynyt lähes kokonaan digitaaliseksi. Opetus toteutetaan digitalisoimalla solu- ja kudosnäytteet "pala palalta" isoiksi kuvatiedostoiksi, joita tarkastellaan opiskelijoiden kanssa tehtävään soveltuvilla kuvankatseluohjeilmilla, sanoo Kronqvist.
Turun yliopistosta on mukana tutkijoita kasvatustieteiden ja lääketieteen tiedekunnasta. Hanke on monitieteinen, ja sen ydinryhmässä on osaamista oppimistutkimuksen, patologian sekä lääketieteellisen informatiikan ja opetusteknologian saralta.
– Vaikka hankkeessa on mukana useita henkilöitä, joilla on vankkaa monitieteistä osaamista, kukaan meistä ei pystyisi tekemään tätä kehittämistyötä yksin. Monitieteisyydestä seuraa myös arjen haasteita: varsinkin projektin alkumetreillä haastavinta oli ymmärtää, mistä kukin tutkija puhui, Helle sanoo.
Patologian ja anatomian opettajat testaavat työkaluja opetuksessa
Toukokuun lopulla cLovid-projekti järjesti kahden päivän seminaarin Amsterdamissa, jonne kokoontui joukko patologian ja anatomian opettajia, lääketieteen opiskelijoita, oppimistutkijoita sekä lääketieteellisen ohjelmistoteknologian asiantuntijoita. Seminaarilla oli useita tavoitteita.
– Halusimme tutustuttaa kliinisiä opettajia vielä osittain kehitteillä oleviin ohjelmistoihin ja opetusmenetelmiin. Haimme tätä kautta sekä palautetta työn viimeistelyyn, että ideoita yhdessä eri opettajien kanssa toteutettaviin pilotointeihin, sanoo projektikoordinaattori Bas De Leng Münsterin yliopistosta.
Amsterdamissa tehdyn työn pohjalta suunnitteilla on nyt useita pilotointeja. Näitä toteutetaan yhdessä kliinisten opettajien kanssa muun muassa Maastrichtin, Oulun ja Itä-Suomen yliopistoista.

Amsterdamin seminaarissa pienryhmät kehittelivät sulautuvan oppimisen skenaarioita patologian kursseille. Kuvassa (vasemmalta kiertäen) Sönke Scherzer, Friedrich Pawelka, Bas de Leng, Katarina Korpinen, Pauliina Kronqvist, Jack Cleutjens, Hannie Gijlers ja Koen Vincken. Kuva: Mikko Kainulainen.
Proejktin luominen on (osittain) rahoitettu Euroopan unionin ERASMUS+ -apurahaohjelmasta apurahalla nro. 2020-1-DE01-KA226-HE-005813.
